Nazal kavite ve paranazal sinüsleri döşeyen Schneiderian (respiratuvar) epitel kökenli benign tümörlerdir.
3 ana tip vardır:
1-Egzofitik papillom (fungiform)
2-Endofitik papillom (invert papillom)
3-Silindirik hücreli papillom (oncocytic / cylindrical cell papilloma)
1-Egzofitik Papillom (Fungiform)

Özellikler
- Genellikle nazal septumdan köken alır
- Ekzofitik (yüzeye doğru) büyür
- Çok katlı yassı epitel ile kaplı
- HPV ile ilişki (özellikle tip 6–11)
Klinik
- Burun tıkanıklığı
- Epistaksis
- Malignite riski düşük
2-Endofitik Papillom (Invert Papillom)

Özellikler
- En önemli tip
- Genellikle lateral nazal duvar / maksiller sinüs
- Epitel stromaya doğru invagine olur (invert büyüme)
- HPV ile ilişki olabilir
Klinik Önemi
- Yüksek rekürrens
- %5–15 oranında skuamöz hücreli karsinom gelişimi
“Malignite riski en yüksek olan papillom tipi?” ***************************
Endofitik (invert) papillom
3-Silindirik Hücreli (Oncocytic) Papillom
4
Özellikler
- Onkositik (eozinofilik granüler sitoplazma)
- Daha nadir
- HPV ilişkisi daha zayıf
- Rekürrens olabilir******
- Nadir malign transformasyon
Karşılaştırma Tablosu
| Özellik | Egzofitik | Endofitik | Silindirik |
|---|---|---|---|
| Büyüme | Yüzeye doğru | Stromaya invajinasyon | Karışık |
| Yer | Septum | Lateral duvar | Sinüs |
| HPV | Sık | Orta | Daha az |
| Rekürrens | Düşük | Yüksek | Orta |
| Malignite riski | Düşük | En yüksek | Düşük–orta |
Püf Noktaları
- “Invert büyüme” = Endofitik papillom
- Malignite riski en yüksek = Endofitik
- Septum yerleşimi = Egzofitik
- Onkositik hücre = Silindirik tip
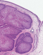
Kırk iki yaşında erkek hasta burun tıkanıklığı ve dolgunluğu şikayeti ile başvuruyor. Hastanın paranazal sinüslerinden biyopsi yapılıyor. Biyopsi materyalinin incelenmesi sonrasında aşağıda resmi verilen lezyon
izleniyor.

Buna göre en olası tanı aşağıdakilerden hangisidir ?
A) Egzofitik papillom
B) Silindirikal papillom
C) Endofitik papillom
D) NUT Midline karsinom
E) Anjiyofibrom
CEVAP: C
Resimdeki paranazal lezyonun mukozadan içeriye doğru büyümesi ve papiller yapılar oluşturması nedeniyle öncelikle endofitik papillomu düşündürmelidir. Agresif ve lokal invaziv tiptir. Olguların %10’unda malign transformasyon izlenir. Devrik papillom da denir.
En sık görülen sinonazal papillom tipi egzofitik papillomdur.
HPV ilişkisiz sinonazal papillom tipi silindirikal papillomdur.
NUT Midline Karsinom agresif ve tedaviye dirençli üst hava yolu tümörüdür. Mikroskobik olarak skuamöz hücreli karsinom ile karışır.
Anjiyofibrom genellikle adolesan erkeklerde görülür. Damarda zengindir. Kanama riski yüksektir.