Gorham-stout hastalığı kemik dokusunun litik lezyonları ile birlikte şilotoraks ve abdominal lenfangiomanın olabildiği kompleks bir hastalıktır. Etiyolojisi halen bilinmemektedir. Tanısı hastanın kliniği, laboratuvar bulguları ve biyopsi ile konulur. Tutulan organlara göre ölümcül seyredebilir. Birçok tedavi tariflenmiş olmakla birlikte son yıllarda interferon alfa 2b ile başarılı sonuçlar bildirilmiştir.

Gorham-stout hastalığı triadı;
1-Kemik dokusunun litik lezyonları
2-Şilotoraks
3-Abdominal lenfangioma
Gorham-stout sendromu (GSS); yoğun osteoliz veya kemik doku kaybı olarak da bilinir Vasküler yapıların benign orijinli proliferasyonu ile birlikte lokalize, masif osteolizis ile karakterize son derece nadir görülen nonfamilyal bir hastalıktır
Genellikle erişkinlerde görülmekle birlikte hayatın tüm evrelerinde karşımıza çıkabilmektedir
Etiyolojisi ve patogenezi halen tam olarak bilinmemektedir. Hemangioma ve lenfanjioma gibi yumuşak doku anomalileri ile birlikte %60 sıklığında görülür
Tedavide radyoterapi, torasik duct ligasyonu, plörodesis, interferon 2 alfabeta gibi değişik tedavi yöntemleri kullanılmaktadır. Ancak optimal tedavi halen tariflenememiştir
Jackson tarafından 1838’de bildirilen ilk olgudan sonra GorhamStout Sendromunun klinik ve histolojik özellikleri Gorham ve Stout tarafından 1955’te bildirilmiştir
Fantom kemik, masif osteolitik kemik yıkımı, kaybolan kemik hastalığı, Gorham hastalığı gibi adlarla da anılmaktadır. Tüm yaş gruplarında ve cinsiyetlerde görülebilmekle birlikte olguların büyük çoğunluğu 40 yaşın altındadır

Ortalama görülme yaşı 25’dir, çocuklarda daha nadir görülür. Kız ve erkekler arasında eşit sıklıkta görülür
Olgularda bilinmeyen bir nedenle vasküler yapılarda benign proliferasyon ve kemik dokularda spontan, progressif rezorbsiyon gözlenir. Massif ve progressif kemik rezorbsiyonu, ince duvarlı endotelle kaplı vasküler veya lenfatik orijinli kapillerlerin anormal proliferasyonu ile oluşmaktadır. Lenfatik damar endotel hücresinin formasyon, büyüme, fonksiyon ve prolifesyonunda birçok büyüme faktörü rol almaktadır. Özellikle VEGF-A, VEGF-C, VEGF-D, basic fibroblast growth faktör (bFGF) ve platelet derive büyüme faktörü (PDGF-b) önemli faktörlerdendir
Ayrıcı tanısında lenfanjioma, iskelet anjiyoması, anjiyo sarkom, esansiyel osteolizis ve sistemik hastalıklar düşünülmelidir
Tanı klinik, radyolojik ve histopatolojik inceleme ile konulur

GSS ile birlikte lenfatik malformasyonlarda görülebilmektedir. Lenfatik lezyonlar alt toraks duvarında, karaciğerde ve dalakta görülebilmektedir. Literatürde GSS ile birlikte lenfatik lezyon iki olguda bildirilmiştir
Literatürde GSS ile birlikte mezenterik lenfangioma olgusu bildirilmemiştir. Dispne, ağrı, şişlik, kemik deformitesi veya ekstremitelerde patolojik kırık gibi klinik bulgularla seyredebilmektedir
Klinik semptomları tutulan kemik yerine göre değişebilmektedir. Etkilenen kemikler zayıflar, progressif ağrı olur ve bir süre sonra fraktür meydana gelir
Spinal kord tutulması sonucu paraplejide raporlanmıştır. Kafatası tutulumu olanlarda duyma kaybı, fasial paralizi ve cerebellum herniasyonu ortaya çıktığı raporlanmıştır
Dispne tek taraflı veya bilateral inatçı şilotoraks nedeni ile meydana gelmektedir. Şilotoraks torasik ductusun ve plevranın invazyonu sonucu oluşur
Nörolojik komplikasyonlar veya solunum sorunları ölüme neden olabilmektedir
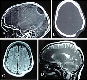
Radyolojik bulgular kemiklerde oluşan lezyonun evresine göre değişmektedir
Kemik grafilerinde subkortikal ve intermedullar yama tarzında radyolusent ostelitik lezyonlar tespit edilir. Bu amaçla direkt grafi, MR ve BT kullanılır
Osteolitik lezyonlar baş, klavikula, vertebrada, kostalarda, pelviste ve alt ekstremitede görülebilmektedir
Hastalığın tutuğu sistemlerin yaygınlığına bağlı olarak laboratuvar bulgularında anormallikler olabilir. Ancak sıklıkla kan tetkikleri genellikle normaldir. Alkalen fosfataz kemik fraktürü olanlarda yüksek olabilir
D-Dimer yüksekliği lenfatik anomalili hastalarda sık görülür. Nadiren fibrinojen düşüklüğü ile PT ve PTT’nin uzaması görülebilmektedir. Hafif trombositopeni mevcut olabilir
Gorham-Stout Sendromu’nun spesifik bir tedavisi olmamakla beraber son yıllarda interferon alfa 2b ile başarılı sonuçlar alındığı bildirilmektedir
İnterferon alfa 2b bir immün modülatör ve antianjiogenetik olarak daha önce de hemanjioma tedavisinde kullanılmış bir bileşiktir
Interferon alfa birçok etkisinin yanında son birkaç yılda anti anjiyogenetik özelliği ile birçok hastada kullanılmış, mekanizması tam olarak bilinmese de, muhtemelen VEGF ekspresyonunun down regülasyonunda rol aldığından, uzun süreli kullanımda damar proliferasyonunu durdurduğu bilinmektedir
Özellikle fibroblast growth faktör ve makrofaj üzerindeki FGFR üzerine inhibitör etkisi damar proliferasyonunu nedeniyle interferon alfa 2b tercih edilmiştir
Takahashi ve ark tarafından 2005 yılında GSS ve şilotoraksı bulunan 2 yaşında bir kız hastaya diğer tedavilere cevap alınamaması nedeni ile pulse kortikosteroid ve interferon alfa 2b uygulandığı ve iyi cevap alındığı bildirilmiştir. Sonraki yıllarda interferon, şilotorakslı olgularda bifosfonat, radyoterapi, oktreotide, pleruodesis, tafoxiparin, bevacizumab, diüretik, filgrastim gibi tedavilerin yanında yer almıştır. Torasik GSS’de de tek başına interferon tedavisinin yer aldığı ve gereğinde bifosfanatlarla güvenli şekilde kombine edildiği bildirilmektedir
Önerilen doz; interferon alfa 2b; 1.5 milyon units/ m2 haftada üç sefer ardından doz tolerasyonuyla 3 milyon ünite m2 ’ye çıkılmasıdır.
Yeni yaklaşımların ışığında hastaların üzerindeki deneyimler arttıkça lenfanjiyogenetik büyüme faktörlerinin incelenmesi tedavide yeni hedefler ortaya koymaktadır. Lenfojenik büyüme faktörlerine karşı klinik tedavilerde interferonun yanında şilotoraksı tedavide bifosfanatlarla başarılı bir şekilde kombine imatinib mesilat ve bevazulimab da kullanılmıştır
Nadir görülen bir hastalık olan GSS’da, klinik durumlarına göre kemik lizisi ve lenfoproliferasyon her hasta için farklı olarak değerlendirilmeli, güncel literatür ve potansiyel tedaviler bireysel anlamda göz önünde bulundurulmalıdır
Özellikle steroid, antibiyotik tedavisi ve intrakaviter bleomisin’e cevap vermeyen olgularda tek başına interferon 2b subkutan 3 milyon UI/kg dozunda etkin bir şekilde şilotoraksı durdurabilir ve yeni litik lezyon oluşumunu engeller