

MYELODİSPLASTİK SENDROM (MDS)
Klonal kök hücre hastalığıdır ve myeloid serinin defektif differansiasyonu ile karakterizedir. AML gelişme
riski (%10-40) yüksek olan bir hastalıktır.
Sıklıkla idiopatiktir. Kemoterapi ya da radyoterapi sonucunda gelişebilir. Tedavi sonrası gelişen MDS’lerde (t-MDS) AML’ye dönüşüm daha sık ve hızlı olur. Prognoz kötüdür. Tanı aşamasında kemik iliği sıklıkla hipersellülerdir, bazen normosellüler veya nadiren hiposellülerdir.
Miyelodisplastik sendrom hastalarında riski en fazla artan lösemi aşağıdakilerden hangisidir?
A) Akut monositik lösemi************
B) Akut lenfoblastik lösemi
C) Kronik lenfositik lösemi
D) Kronik myelositik lösemi
E) Lenfoblastik lenfoma
—————————–
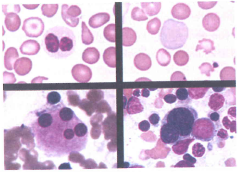
Altmış beş yaşında erkek hasta halsizlik, efor dispnesi şikayetleri ile başvuruyor. Hastanın fizik muayenesin de mukozalarda soluklu dışında bulgu saptanmıyor.Laboratuvarında hemoglogin: 9 gr/dl, trombosit: 220.000 mm3 , BK:3800 bulunuyor Periferik yaymada plateletler büyük ve granülsüz, lökositlerde anormal segmentasyonlar, kemik iliğinde megaloid değişiklikler ve halkalı sideroblastlarda artış saptanıyor.
Bu hastada en olası tanı aşağıdakilerden hangisidir?
A) Megaloblastik anemi
B) Myelodisplastik sendrom
C) Aplastik anemi
D) Myelofitizis
E) Primer myelofibrozis
CEVAP: B
Miyelodisplastik sendrom (MDS), kemik iliğindeki olgunlaşmamış kan hücrelerinin olgunlaşmadığı, dolayısıyla sağlıklı kan hücrelerine dönüşmediği bir grup kanserden biridir. Erken dönemlerde tipik olarak hiçbir belirti görülmez. Daha sonra belirtiler arasında yorgunluk hissi, nefes darlığı, kanama bozuklukları, anemi veya sık görülen enfeksiyonlar yer alabilir. Bazı tipler akut miyeloid lösemiye dönüşebilir.
Risk faktörleri arasında önceki kemoterapi veya radyasyon tedavisi, tütün dumanı, böcek ilaçları ve benzen gibi belirli kimyasallara maruz kalma ve cıva veya kurşun gibi ağır metallere maruz kalma sayılabilir. Kan hücresi oluşumu ile ilgili sorunlar, düşük kırmızı kan hücresi, trombosit ve beyaz kan hücresi sayımlarının bazı kombinasyonlarıyla sonuçlanır.Bazı türlerde kemik iliğinde veya kanda blast adı verilen olgunlaşmamış kan hücrelerinde artış vardır. MDS türleri, kan hücrelerindeki ve kemik iliğindeki spesifik değişikliklere dayanmaktadır.
Tedaviler destekleyici bakım, ilaç tedavisi ve hematopoietik kök hücre naklini içerebilir. Destekleyici bakım, kan naklini, kırmızı kan hücrelerinin yapımını artırmaya yönelik ilaçları ve antibiyotikleri içerebilir. İlaç tedavisi lenalidomid, antitimosit globulin ve azasitidin ilaçlarını içerebilir. Bazı insanlar kemoterapi ile tedavi edilebilir ve ardından bir donörden kök hücre nakli yapılabilir.

100.000 kişiden yaklaşık yedisi, her yıl 100.000 kişiden yaklaşık dördü bu durumu yeni edinmektedir. Tipik başlangıç yaşı 70’tir. Görünüm, etkilenen hücrelerin türüne, kemik iliğindeki veya kandaki blast sayısına ve etkilenen hücrelerin kromozomlarında bulunan değişikliklere bağlıdır. Tanıyı takiben tipik sağkalım süresi 2,5 yıldır. Koşullar ilk olarak 1900’lerin başında kabul edildi. Mevcut isim 1976’da kullanıma girdi.
MYELODİSPLASTİK SENDROM ( PRE-LÖSEMİ)
Klinik:
Yaşlıların hastalığıdır (ortalama tanı>68), Genellikle semptomatik olup başka bir amaçla araştırılırken farkedilir. Sıklıkla anemi ve %20 vakada splenomegali görülebilir. LAP nadirdir.
5 evreye ayrılır:
1. Refrakter anemi: En sık görülen tip’dir.
2. Refrakter anemi ve ring sideroblastlar
3. Refrakter anemi ve blast artışı
4. Refrakter anemi ve transformasyonda blast artışı; K.İ. de %20-30, periferde %5’den fazla blast vardır, auer
rodları görülebilir ve ve bu form sıklıkla akut lösemiye dönüşür.
5. Kronik myelomonositik lösemi
PY:Makrositozun ağırlıkta olduğu bir dimorfizm vardır. Plateletler büyük ve granülsüzdür.
Pelger-Huet (hipolobule)lökosit, Döhle cisimciği içeren hipogranüle lökosit
Total beyaz küre sayısı normal yada düşüktür. Genellikle pansitopeni vardır.
Kİ: Hipo, normo veya hiperselüler olabilir, megaloid ve diseritropoetik değişiklikler, immatür megalomonositik formlar, halkalı sideroblastlar görülebilir.

Tedavi: Herediter formunda piridoksin yararlıdır. Diğer formlarda androjenler, steroidler, düşük doz ARA-C ve retinoidler (Kİ olgunlaşmasını indüklerler) deneniyor ama prognoz kötüdür. İki yıl içinde ve sıklıkla pansitopeninin komplikasyonlarından ölürler.
Tedavilere dirençli kansızlık durumunda düşünülmesi gerekli tanılardan biri de bir kemik iliği hastalığı olan myelodisplastik sendrom (MDS) isimli hastalıktır.
MYELODİSPLASTİK SENDROM-MDS
Myelodisplastik Sendrom; Myelodisplastik sendrom ve displazi kelimelerinin birleşmesinden oluşmakta ve kısaca MDS olarak yazılmaktadır. Myelodisplastik sendrom anlam olarak kemik iliği veya çevre kanında bulunan içinde granül(küçük noktalar) barındıran beyaz kan hücrelerini ifade etmektedir. Displazi ise kan hücrelerinin anormal oluşunu ifade eder. Myelodisplastik sendromda kemik iliğinde yapılan kan hücrelerinin olgunlaşamaması yanında kemik iliğindeki kan hücrelerinde normal hücrelerden farklı bir gelişim söz konusudur. MDS’li hastalarda kan yapımında azalmanın sonucu olarak kırmızı kan hücrelerinde azalma (anemi) ve kan hücrelerinde kalite bozukluğu olur, bu nedenle bu hücreler normal işlevlerini göremezler. MDS içinde değerlendirilen bazı alt guruplarda lösemiye dönüşüm olmaktadır.
MDS hemen her yaşta görülebilirse de genellikle 40 yaş üzerinde sıktır. İlk olarak 1950 yılında MDS ile ilişkili kemik iliğinde farklılıktan söz edilmiştir. Hastalık 1982 yılında Fransız-Amerikan ve İngiliz çalışma gurubu tarafından myelodisplastik sendrom (MDS) olarak ifade edilmeye başlanmıştır.
MSD’ nin tam olarak bilinmemektedir. Hastalığın ortaya çıkmasında kalıtımsal özellik sadece çocuklarda daha sık gözlenen Fanconi anemili hastalarda gözlenir. Hastaların büyük bir kısmında hastalık ile ilişkili bir neden saptanamaz. Boya sanayi ve ayakkabıcılıkta sık olarak kullanılan benzene maruz kalma ile hastalık arasında ilişki vardır. Ayrıca habis hastalıkların tedavisi için kullanılan ilaçlar veya radyoterapiden yıllar sonra MDS ortaya çıkabilir. Habis hastalıklarda kullanılan ilaçlara örnek olarak siklofosfamid, klorambusil, melfalan, ifosfamid ve etoposid gösterilebilir. Bununla beraber alkolizm, kurşun zehirlenmesi, tüberküloz ilaçlarının kullanımı seyri veya sonrasında MDS gelişebilir. Ancak ileri yaşın da önemli bir faktör olduğunu unutmamak gerekir. Hastaların yarısından fazlasında 5, 7, 8, 11, 12 ve 20. kromozomlarda kopma veya kırılma olduğu bilinmektedir. Bugünkü bilgilerimize göre MDS’nin bakteri, virüs ile oluştuğuna dair kanıt yoktur. Hastalığın bulaşıcı özelliği yoktur.
MDS’de DNA yapısındaki epigenetik değişikliklerin tanınması, MDS’yi tedavi etmek için ABD Gıda ve İlaç İdaresi tarafından onaylanan ticari olarak temin edilebilen üç ilaçtan ikisinin (yani hipometile edici ajanlar 5-azasitidin ve desitabin ) üçünün (üçüncüsü lenalidomiddir ) başarısını açıklamıştır . Proliferasyon genlerinin düzenlenmesinde uygun DNA metilasyonu kritik öneme sahiptir ve DNA metilasyon kontrolünün kaybı, kontrolsüz hücre büyümesine ve sitopenilere yol açabilir. Yakın zamanda onaylanan DNA metiltransferaz inhibitörleri, hücrede daha düzenli bir DNA metilasyon profili oluşturarak bu mekanizmadan yararlanır.hematopoietik kök hücre çekirdeği , böylece normal kan sayımlarını geri kazandırır ve MDS’nin akut lösemiye ilerlemesini geciktirir .
Bazı yazarlar, zaman içinde mitokondriyal fonksiyon kaybının hematopoietik kök hücrelerde DNA mutasyonlarının birikmesine yol açtığını öne sürmüşlerdir ve bu, yaşlı hastalarda MDS insidansındaki artışı açıklamaktadır. Araştırmacılar , MDS’de mitokondriyal işlev bozukluğunun kanıtı olarak halkalı sideroblastta mitokondriyal demir birikintilerinin birikmesine işaret ediyor .
En az 1974’ten beri, 5. kromozomun uzun kolundaki delesyonun, hematopoietik kök hücrelerin displastik anormallikleri ile ilişkili olduğu bilinmektedir. 2005 yılına gelindiğinde, bir kemoterapi ilacı olan lenalidomid’in 5q-sendromlu MDS hastalarında etkili olduğu kabul edildi ve Aralık 2005’te ABD FDA, ilacı bu endikasyon için onayladı . İzole 5q-, düşük IPSS’li hastalarriski ve transfüzyon bağımlılığı en iyi lenalidomide yanıt verir. Tipik olarak, bu hastalar için prognoz, 63 aylık medyan sağkalım ile olumludur. Lenalidomid, 5q-‘li hastalarda malign klon sayısını düşürerek ve 5q delesyonu olmayan hastalarda görüldüğü gibi sağlıklı eritroid hücrelerin daha iyi farklılaşmasını teşvik ederek ikili etkiye sahiptir.
Miyelodisplastik sendromlu vakaların %40-80’inde, özellikle halkalı sideroblastları olanlarda, ekleme faktörlerinde mutasyonlar bulunmuştur .
IDH1 ve IDH2 mutasyonları
İzositrat dehidrojenaz 1 ve 2’yi ( IDH1 ve IDH2 ) kodlayan genlerdeki mutasyonlar, miyelodisplastik sendromlu hastaların %10-20’sinde görülür ve düşük riskli MDS’de prognozu kötüleştirir.
Hastalık malignitesi arttıkça IDH1/2 mutasyonlarının insidansı arttığından, bu bulgular birlikte, IDH1/2 mutasyonlarının MDS’nin daha malign bir hastalık durumuna ilerlemesinde önemli itici güçler olduğunu düşündürür.
GATA2
GATA2 eksikliği, iki GATA2 geninden birinde bir kusur, ailesel veya sporadik inaktive edici mutasyonların neden olduğu bir grup bozukluktur . Bu otozomal dominant mutasyonlar, gen ürünü GATA2’nin hücresel seviyelerinde bir azalmaya neden olur. GATA2 proteini, kan oluşturan , lenf oluşturan ve diğer doku oluşturan kök hücrelerin embriyonik gelişimi , bakımı ve işlevselliği için kritik bir transkripsiyon faktörüdür .
Bu mutasyonların bir sonucu olarak, GATA2’nin hücresel seviyeleri düşüktür ve bireylerde zamanla hematolojik, immünolojik, lenfatik veya diğer sunumlar gelişir. Bu sunumlar arasında öne çıkan, sıklıkla akut miyelositik lösemiye veya daha az yaygın olarak kronik miyelomonositik lösemiye ilerleyen MDS’dir . Geçici miyeloproliferatif hastalık, karaciğer ve kemik iliğinde kanserli olmayan megakaryoblastların bir klonunun anormal çoğalmasıdır . Hastalık, Down sendromlu veya Down sendromundakine benzer genetik değişikliklere sahip kişilerle sınırlıdır, hamilelik sırasında veya doğumdan kısa bir süre sonra gelişir ve 3 ay içinde düzelir veya vakaların yaklaşık %10’unda akut megakaryoblastik lösemiye ilerler .
MDS’nin alt gurupları; 1982 yılında yapılan Fransız-Amerikan ve İngiliz sınıflamasına göre MDS 5 alt guruptan oluşmuştur. Ancak 2002 yılında dünya sağlık örgütü (WHO) hastalık için yeni bir sınıflama önermiştir. Sağlık kuruluşları bu iki sınıflamadan birisini tercih etmektedir.
Fransız-Amerikan-İngiliz (FAB) Sınıflaması
| Hastalık Adı | Belirti-Bulgular |
| Dirençli Anemi | Halsizlik, yorgunluk gibi genel belirtiler İleri yaşta nedeni bulunamayan kansızlık |
| Dirençli Anemi-Ring Sideroblast | Halsizlik, yorgunluk gibi genel belirtiler İleri yaşta nedeni bulunamayan kansızlık Kemik iliği demirinde artma |
| Kronik Myelomonositik Lösemi | Halsizlik, yorgunluk Karaciğer ve dalakta büyüme Kan beyaz kürelerde sayıca artma |
| Blast Artışı İle Birlikte Olan Dirençli Anemi | Halsizlik, yorgunluk Enfeksiyonlara eğilim Kolay çürük oluşumu, kanamaya eğilim |
| Dönüşüm Gösteren Blast Artışı İle Birlikte Olan Dirençli Anemi | İleri derecede halsizlik ve yorgunluk Enfeksiyonlara eğilim Kolay çürük oluşumu, kanamaya eğilim |
MDS’de Dünya Sağlık Örgütü (WHO) Sınıflaması
| Hastalık Adı | Belirti-Bulgular |
| Dirençli Anemi | Halsizlik, yorgunluk gibi genel belirtiler İleri yaşta nedeni bulunamayan kansızlık |
| Dirençli Anemi-Ring Sideroblast | Halsizlik, yorgunluk gibi genel belirtiler İleri yaşta nedeni bulunamayan kansızlık |
| Dirençli Olarak Hücre Serisinde Azalma-Birden Fazla Hücre Serisinde Displazi | Halsizlik, yorgunluk gibi genel belirtiler İleri yaşta nedeni bulunamayan kansızlık Kan hücrelerinin en az iki tanesinde azalma (kırmızı kan hücresi, beyaz kan hücresi ya da kan pulcuklarında) |
| Dirençli Olarak Hücre Serisinde Azalma-Birden Fazla Hücre Serisinde Displazi ve Ring Sideroblast | Halsizlik, yorgunluk gibi genel belirtiler İleri yaşta nedeni bulunamayan kansızlık Kan hücrelerinin en az iki tanesinde azalma (kırmızı kan hücresi, beyaz kan hücresi ya da kan pulcuklarında) Kemik İliği demirinde artma |
| Blast Artışı İle Birlikte Olan Dirençli Anemi-I | Halsizlik, yorgunluk Enfeksiyonlara eğilim Kolay çürük oluşumu, kanamaya eğilim |
| Blast Artışı İle Birlikte Olan Dirençli Anemi-II | Halsizlik, yorgunluk Enfeksiyonlara eğilim Kolay çürük oluşumu, kanamaya eğilim |
| Sınıflandırılamayan Myelodisplastik Sendrom | Halsizlik, yorgunluk gibi genel belirtiler İleri yaşta nedeni bulunamayan kansızlık |
| 5. Kromozomun Kısa Kolunda Kopma ile Birlikte Olan Myelodisplastik Sendrom | Halsizlik, yorgunluk gibi genel belirtiler Nedeni bilinmeyen kansızlık Kan pulcuklarının sayısında artma |

Hastalar genellikle ileri yaş gurubundadır. Erkek hastalar kadınlara nazaran hastalığa daha sık yakalanır. Ortalama olarak hastalık bir yılda 100.000 kişiden 22-45’inde ortaya çıkar. En sık olan yakınma kansızlığın ana belirtisi olan halsizliktir. Halsizlik genellikle uzun süreli yol yürümekle veya merdiven çıkmakla oluşur. Sıklıkla nefes darlığı ve çarpıntı ile birliktedir. Bazı hastalarda özellikle ayağa kalkarken baş dönmesi ve göz kararması olabilir. Kulaklarda işitme azlığı, özellikle yokuş çıkarken veya yürürken olan ve dinlenmekle azalan göğüs ağrısı oluşabilir. Kol ve bacak ağrısı ya da uyuşması doğaldır. Bazı hastalar enfeksiyonlara kolay yakalanır. Enfeksiyonlar üst veya alt solunum yollarında daha sıktır. Ancak deri veya idrar yollarında da oluşabilir. Bazen de özellikle kol veya bacaklarda toplu iğne başından mercimek büyüklüğüne kadar, deriden kabarık olmayan, küçük, deri içine kanama odakları oluşabilir. Ya da kolay çürük oluşumu gerçekleşebilir. Nadiren MDS’li hastalarda kan hücrelerinin yıkılması sonucu oluşan idrarda koyulaşma ve gözlerin beyaz kısmında sararma oluşabilir. Eklem ağrıları ortaya çıkabilir. Gece terlemesi ve ateş meydana gelebilir.

Yukarıdaki yakınmalarla ile hekime başvuran hastanın muayenesinde deride, dudaklarda solukluk vardır. Bazı hastalarda boyun ve koltuk altlarında ya da kasıklarda lenf bezlerinde büyüme bulunabilir. Karaciğer veya dalakta büyüme saptanabilir. Kol veya bacaklarda küçük kanama odakları gözlenebilir. Ateşi olan hastalarda enfeksiyon bölgesi ile ilgili belirtiler bulunabilir. Bu belirtiler sonrası tam kan sayımı tahlili yapılır. Tam kan sayımında kırmızı kan hücrelerinde azalma hemen tüm hastalarda vardır. Beyaz kürelerde ve kan pulcuklarında (trombosit) da azalma gözlenebilir. Dünya sağlık örgütü (WHO) sınıflamasına göre yeni tanımlanan 5q sendromunda kan pulcuklarının sayısında artma görülebilir. Parmak ucundan alınan kan bir cam üzerinde yayıldıktan (çevre kanı) ve boyandıktan sonra mikroskop altında incelenmesi ile kan hücreleri hakkında bilgi sahibi olunur. Burada kırmızı kan hücreleri, beyaz küre ve kan pulcuklarının sayı ve görünümleri hekime tanı koymada yardımcıdır. Tanının kesinleşmesi için bir ileri tetkik, kemik iliği aspirasyonu ve biyopsisidir. Kemik iliği aspirasyon ve biyopsisi için tercih edilen alan kalça kemiğinin üst çıkıntısıdır. Kemik iliği aspirasyon ve biyopsisinden önce o bölge uyuşturulur. Daha sonra özel iğneler ile kalça kemiğinin üst çıkıntısına girilerek enjektörle 0,5-1 ml kan çekilir. Bu esnada patoloji bilim dalında incelenmek üzere kemik iliği biyopsisi de gerçekleştirilir. Tüm bu işlemler poliklinik koşullarında ayaktan hastaya yapılabilir. Biyopsi sonrası hastanın evine gitmesinde sakınca yoktur. Elde edilen ilik dokusu belirli boyalarla ve Prusya mavisi ile boyanarak mikroskop altında incelenir. Kemik iliğinin bir kısmı kromozom tetkiki için kullanılır.
Alınan çevre kanı ve kemik iliği örneğinin hematoloji uzmanları, patologlar ve genetik uzmanları tarafından incelenmesiyle hastalara tanı konulur.


MDS başka hastalıklarla karışabilir. Bu hastalıkların başında B12 vitamini eksikliği gelmektedir. Bununla beraber bazen hem B12 hem de demir eksikliğinin birlikte olduğu durumlarda da ayırıcı tanı önemlidir. Folik asit eksikliği çok nadiren MDS ile karışır. Bu nedenle serum da demir, B12 vitamini, folik asit ve ferritin düzeyi bakılarak demir eksikliği ve B12 vitamini eksikliği tanıda dışlanmaya çalışılır.
Hastalığın seyri sınıflandırmada tanımlanan hastalık alt guruplarına göre farklılık göstermektedir. Dirençli anemi ve sideroblast olan olgularda genellikle kansızlık dışında bir anormallik yoktur. Bu hastalar normal yaşamlarını sürdürür. Bazılarında belirtiler hafif olup tedaviye gerek olmayabilir. Ancak blast artışı ile birlikte olan MDS’de ise akut lösemiye dönüşme riski vardır. Bu hastaların birçoğunda enfeksiyonlara eğilim artmıştır. Kol ve bacaklar başta olmak üzere vücudun değişik yerlerinde kanama odakları görülebilir. Bu nedenle bu hastalar düzenli olarak hekime gitmeli, kontrollerini yaptırmalı ve önerilen tedavilere tam olarak uymalıdırlar.
Bu hastaların tedavisi MDS’nin alt gurubu ile yakından ilişkilidir. Her şeyden önce tedaviye karar vermede hasta, hasta yakını ve hekim tam bir işbirliği içinde olmalıdır. Yaşı 55’in altında olan hastalarda doku uygunluğu olan kardeşlerden veya akraba olmayan birisinden kök hücre nakli tam şifa sağlayabilir. Ancak başkasından alınan hücrelerle yapılan kök hücre nakli sırasında oluşabilecek istenmeyen yan etkiler önemli ve hayatı tehdit edici olabilir. İlaç tedavisi olarak aşağıda hastalık guruplarına özel tedavi seçenekleri özetlenmiştir.
- Dirençli Anemi: Kan transfüzyonu, eritropoietin, kök hücre nakli
- Dirençli Anemi-Ring Sideroblast: B6 vitamini, kan transfüzyonu, eritropoietin, kök hücre nakli
- Dirençli Olarak Hücre Serisinde Azalma-Birden Fazla Hücre Serisinde Displazi: Kan transfüzyonu, eritropoietin, kök hücre nakli, beyaz küreleri uyaran ilaçlar (koloni uyarıcı ilaçlar:G-CSF, GM-CSF).
- Dirençli Olarak Hücre Serisinde Azalma-Birden Fazla Hücre Serisinde Displazi ve Ring Sideroblast: B6 vitamini, kan transfüzyonu, eritropoietin, kök hücre nakli, beyaz küreleri uyaran ilaçlar (koloni uyarıcı ilaçlar: G-CSF, GM-CSF).