


Annular pankreas, normal pankreas dokusunun duodenumun 2. kısmını (pars descendens) halka şeklinde sarmasıdır.
Sonuç olarak Duodenum daralır veya tıkanır. Duodenal obstrüksiyon gelişir.
Embriyoloji
Altta yatan temel mekanizma, Ventral pankreatik tomurcuğun anormal rotasyonudur.
Normalde Ventral pankreas, duodenum etrafında döner ve dorsal pankreasla birleşir.
Annular pankreasda ise ikiye bölünmüş ventral bud, Duodenumun etrafını sarar.
Annular pankreastan etkilenen bireylerin yaklaşık %33’ünde farklı kromozomal hastalıklar (örneğin trizomi 21 ve daha az sıklıkla trizomi 18 ve trizomi 13 ) mevcuttur.
Pankreasın ekzokrin kısmı, duodenumun ventral (yaklaşık 28. gün) ve dorsal (yaklaşık 26. gün) tomurcuklanmasından kaynaklanır. Farklı büyüme hızlarından kaynaklanan duodenumun fizyolojik rotasyonunu takiben, pankreas kanalı gelecekteki ortak safra kanalıyla (çeşitli varyasyonlarla) birleşerek her iki pankreas primordiyasının kaynaşmasına neden olur.
Bu gelişim daha sonra kanal sisteminde hala belirgindir. Yaklaşık 9. haftada endokrin kısım gelişir. Bu, pankreas kanallarının epitelinden kaynaklanır ve daha sonra Langerhans adacıklarına farklılaşır. Hormon üretimi kısa süre sonra başlar, ekzokrin kısım ise fetal gelişim sırasında işlevsiz kalır. Beta hücreleri tarafından üretilen insülin hormonunun büyüme düzenlemesinde önemli bir rol oynadığına inanılmaktadır . Bu, fetüsteki beta hücrelerinin yüzdesinin yetişkinlere göre üç katından fazla olmasıyla kanıtlanmıştır.
Eğer ventral pankreas iki loba ayrılırsa, bir lob dorsal uzantıya ek olarak daha da ventral yönde uzanırsa veya ventral lob sabit kalırsa, duodenumun inen kısmının etrafında bir halka oluşarak lümenini daraltabilir . Tıkanıklığın derecesine bağlı olarak, bu durum anne karnında, yenidoğanlarda veya yaşamın üçüncü veya dördüncü on yılında belirgin hale gelebilir, ancak tamamen asemptomatik de kalabilir. Tanı ultrason , ERCP ve BT kullanılarak konulur . Tipik semptomlar arasında (muhtemelen safra içeren) yemek sonrası kusma ve şişkinlik bulunur.
Hatta doğum öncesi dönemde bile, ” çift baloncuk fenomeni ” doğum öncesi tanılamada önemli bir gösterge, yumuşak bir işaret olarak kabul edilir . Asılı karın röntgeninde, omurganın sağında ikinci bir “mide balonu”nun görünmesi, halka şeklinde pankreas dahil olmak üzere çeşitli nedenlere bağlı şiddetli duodenal tıkanıklığın karakteristik özelliğidir.
Semptomatik hastalara, yan yana duodenoduodenostomi veya aşırı durumlarda duodenojejunostomi ( duodenum ve jejunum arasında bir anastomoz ) adı verilen bir işlemle yardımcı olunabilir. Bu, daralmayı atlayan bir anastomoz oluşturmayı içerir. Halkalı pankreasın oluşumu sıklıkla trizomi 21 ile ilişkili olarak gözlenir.
Klinik Bulgular
1-Yenidoğan döneminde; Safralı kusma (bilious vomiting), Beslenme intoleransı, “Double bubble sign”
2-Erişkinde ; Epigastrik ağrı, Kusma, Pankreatit ve Duodenal stenoz şeklindedir.
Tanı
Görüntüleme: BT / MR, Üst GIS grafisi, ERCP
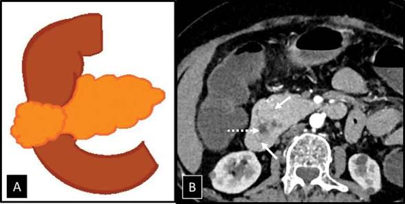
Tipik olarak Duodenum çevresinde pankreas halkası tespit edilir.
Ayırıcı Tanıda Duodenal atrezi, Duodenal web ve Pankreas başı tümörü yer alır.
Tedavi
Hafif olgular Takip edilirken Obstrüksiyon varsa Duodeno-duodenostomi veya Gastrojejunostomi uygulanır. Pankreas halkası genelde çıkarılmaz ve bypass yapılır
Özet
En sık bulgusu bilious vomiting (safralı kusma)
En klasik görüntüsü double bubble sign
Embriyolojik nedeni ventral pankreas rotasyon hatasıdır.
Pankreas dokusu duodenumu sarar. Obstrüksiyon yapar. Yenidoğanda erken belirti verir. Tedavi → cerrahi bypass
Pankreasın embriyolojik gelişimini ve bu süreçteki aksaklıklar sonucu oluşan Annüler Pankreas (Halka Şeklinde Pankreas) tablosunu oldukça detaylı ve akademik bir düzeyde özetlemişsiniz. Bir cerrah gözüyle, embriyolojik rotasyon kusurlarının klinik yansımalarını (özellikle “Double Bubble” bulgusu gibi) takip etmek tanısal açıdan çok kritiktir.
Embriyolojik Rotasyon ve Füzyon Kusuru; Normal gelişimde ventral tomurcuk, duodenumun rotasyonu ile dorsal tomurcuğun arkasına geçer ve füzyon gerçekleşir. Sizin de belirttiğiniz gibi, ventral tomurcuğun iki loba ayrılması veya göç sırasındaki bir hata, duodenumun 2. kıtasını (descending part) bir yüzük gibi saran pankreas dokusuna yol açar.
Radyolojik Tanı: “Double Bubble” (Çift Balon) Fenomeni
Prenatal ultrasonda veya postnatal direkt karın grafisinde görülen bu fenomen:
1-Birinci Balon: Proksimal duodenumun ve midenin hava/sıvı ile dilatasyonu.
2-İkinci Balon: Obstrüksiyonun hemen proksimalindeki duodenal dilatasyon. Bu bulgu, annüler pankreasın yanı sıra duodenal atrezi için de patognomoniktir ve her iki durumun da Trizomi 21 (Down Sendromu) ile güçlü korelasyonu cerrahi literatürde iyi bilinir.
Cerrahi Tedavi Stratejisi; Duodenoduodenostomi, annüler pankreasta “bypass” prensibiyle çalışır.
Neden Rezeksiyon Değil? Çünki, Halka şeklindeki pankreas dokusunun kendisinin kesilip çıkarılması (divizyon), majör pankreas kanallarının zedelenmesine, inatçı pankreatik fistüllere ve doku içindeki fibrozis nedeniyle duodenumda striktürün devam etmesine yol açar. Bu yüzden daralmış segmenti devre dışı bırakan bir anastomoz tercih edilir.
Erişkin Formu ve Ayırıcı Tanı; Erişkinlerde (3. veya 4. dekad) semptomatik hale gelen vakalarda, genellikle sadece tıkanıklık değil, pankreasın o bölgesindeki kronik inflamasyona bağlı gelişen pankreatit veya peptik ülserler de tabloya eşlik eder. Tanıda ERCP, pankreatik kanalın duodenumu nasıl çevrelediğini göstermede (yılan benzeri görünüm) hâlâ altın standartlardan biridir.