İçeriğe atla

Dr Tanju YILDÖN

  • Tıp Bilim Eğitimi

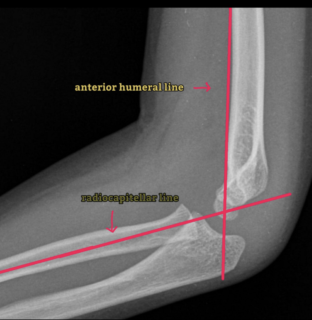
Radiocapitellar line, dirsek grafilerinde (özellikle çocuklarda) radius başı ile kapitellum hizasını değerlendirmek için kullanılan temel bir radyolojik referans çizgisidir.

22 Mart 2026 yazar drtanjuy
Screenshot

Kategoriler Anatomi-13 soru, 13/100, % 6.5
Uhl anomalisi
Nöral tüp defekti riskini arttıran materyal durumlar
Kategoriler
  • Adli Tıp; Adli Patoloji, Adli Psikiyatri, Adli Toksikoloji, Adli Antropoloji ve Odontoloji, Adli Toksikoloji, Klinik Adli Tıp
  • Anatomi-13 soru, 13/100, % 6.5
  • Genel Cerrahi, Cerrahi Onkoloji, Gastroenteroloji Cerrahisi, Harp Cerrahisi- 20 soru, 20/100, % 10
  • İç Hastalıkları Endokrinoloji/Metabolizma, Gastroenteroloji, Geriatri, Hematoloji, İmmünoloji/Alerji, İş-Meslek Hastalıkları, Nefroloji, Tıbbi Onkoloji, Romatoloji, Yoğun Bakım-25 soru, 25/100, % 12.5
  • Kadın Hastalıkları ve Doğum, Jinekolojik Onkoloji Cerrahisi, Materno-Fetal Tıp ve Perinatoloji- 10 soru, 10/100, % 5
  • Kalp ve Damar Cerrahisi, Göğüs Cerrahisi, Çocuk Kalp ve Damar Cerrahisi
  • Küçük Staj Cerrahi Grubu- 10 soru, 10/100, % 5
  • Küçük Staj Dahiliye Grubu-10 soru, 10/100, % 5
  • Medikal Embriyoloji-3/100, %1.5
  • Nöroloji, Klinik Nörofizyoloji
  • Nükleer Tıp
  • Pediatri, Acil,Endokrinoloji,Enfeksiyon,Gastroenteroloji,Genetik,Göğüs, HematoOnkoloji,İmmünoloji,Alerji,Kardiyolojisi,Metabolizma,Nefroloji,Nöroloji, Romatoloji,Neonatoloji,YB-25 soru, 25/100, % 12.5
  • Plastik, Rekonstrüktif ve Estetik Cerrahi, El Cerrahisi, Ağız, Yüz ve Çene Cerrahisi, Pediatrik Plastik Cerrahi, Kraniyofasiyal Cerrahi
  • Radyasyon Onkolojisi
  • Tıbbi Biyokimya-18 soru, 18/100, % 9
  • Tıbbi Farmakoloji-18 soru, 18/100, % 9
  • Tıbbi Fizyoloji- 8 soru, 8/100, % 4
  • Tıbbi Histoloji-4/100, %2
  • Tıbbi Mikrobiyoloji, Epidemiyoloji, Temel İmmünoloji, Tıbbi mikoloji, Tıbbi parazitoloji, Tıbbi Viroloji-18 soru, 18/100, % 9
  • Tıbbi Patoloji, Sitopatoloji, Dermatopatoloji, Hematopatoloji, Nöropatoloji, Pediatrik Patoloji-18 soru, 18/100, % 9
  • Transplantasyon Tıbbı
© 2026 Dr Tanju YILDÖN • Built with GeneratePress