
Pineal bez; beynin derininde arka kısmına yakın yaklaşık 5-8 mm x 3-5 mm boyutlarında minicik bir hormonal bezdir. Böbreklerden sonra vücutta kan akımından en zengin ikinci organımızdır. Ovalimsi bir şekli olan pineal bez bir sapla beynin 3. ventrikülüne (beyin boşluğu) bağlıdır. Normalde bir insanda pineal bez 7 yaşına kadar büyür. Beyinle beyincik arasında yer alan pineal bezden kaynaklanan kistler Pineal kist olarak adlandırılır. Bu bölgede oluşan kistler çoğunlukla iyi huylu olurlar.
Pineal bez, seratonin ve melatonin isimli hormonları salgılayarak vücudun biyoritmine katkı sağlamaktadır. Melatonin hormonu beyinde pineal bezden salgılanır. Pineal bez salgıladığı Melatonin hormonu ile vücudun gece ve gündüz arasındaki farklılıklarına uyum göstermesini sağlar. Gözdeki retina bölümü ışık durumunu pineal beze iletir ve ışık durumuna göre de Pineal bezden melatonin hormonu salgılanır. Melatonin karanlıkta salgılanan bir hormondur, gece salgılanırken gündüz salgılanmaz. Gece uzun olunca melatonin salgısı da artar. Melatonin saat 21:00 da salgılanmaya başlayarak gece yarısı saat 02:00 ile 04:00 arasında en fazla salgılanıp sabah saat 07:00 da salgılanması azalır ve buna bağlı olarak da gece uyku getirirken gündüz de uyanıklığı sağlar.
Melatonin hormonunun uykuyu getirme ve uyku sağlama etkisinin yanında ergenliği başlatma, üremeyi arttırma, vücut ısısını düşürme ve antioksidan gibi etkileri de var. Uykusuzlukta melatonin salgısı bozulur, melatonin gündüz salgılanırsa gündüz uyuklayıp gece uyuyamaz.
Stres, alkol, sigara, fazla kahve ve çay, bilgisayar başında uzun süre kalma, yatmadan önce karnın tok olması melatonin salgısını azaltıp uykusuzluğa yol açar. Uyurken de ışığın söndürülmesi ve TV’ yi kapatmak gerekir, perdeler kalın ve ışığı geçiren olmamalı.
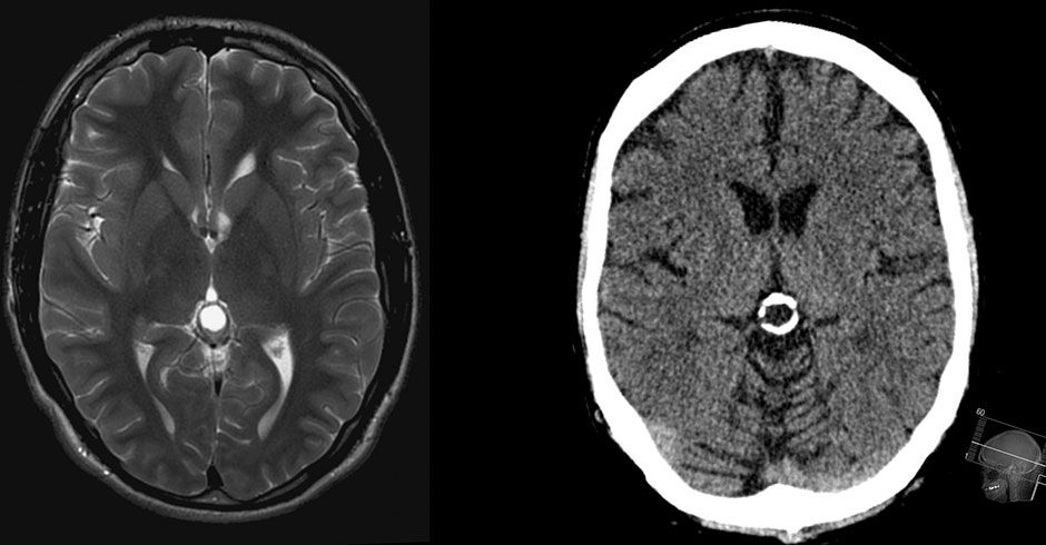
Beyin zarı 3 katmanlıdır. Bu zarlar arasında beyin boşlukları vardır. Bazen bu boşluklarda normalden aşırı genişlemeler olabilir. Pineal bölge kistleri de bu boşluklarda gelişen genellikle iyi huylu olan kistlerdir. İnsanların büyük bir kısmında tesadüfen rastlanabilir. Bu bez üzerinde gelişen Pineal Kistler; çeşitli çaplarda olabilirler. 0,5 cm ye kadar olanlar herhangi bir bulgu vermezler. 0,5 cm den büyük olanları takibe almak gerekir. 6 ay ve 1 yıl sonra MR kontrolü önerilir. Biyokimyasal tanı yöntemleri; tümör belirteçleri malign germ hücre elemanlarının taramasında faydalıdır. Alfa fetoprotein ve beta-HCG rutinde kullanılan belirteçlerdir. Kan ve BOS’ta artmış olarak bulunması anlamlıdır.
Semptomlar üç mekanizma ile meydana gelmektedir. Artmış intrakranial basınca sebep olan hidrosefali, direkt beyine ve serebellar kompresyon, endokrin disfonksiyondur. Kist, beyin sıvısının geçiş yollarını tıkayarak Hidrosefali dediğimiz beyin suyunun artmasına neden olabilir. Başağrısı, nöbet geçirme, görme bozuklukları, ışığa aşırı duyarlılık şikâyetler olursa doktora başvurmak gerekir.
Eğer sıvı toplanmasına (hidrosefali) neden olmamış ise tedavisine gerek yoktur. Eğer hidrosefaliye neden olmuşsa cerrahi olarak tedavi etmek gerekir.
Bu tür pineal kistte cerrahi tedavi ve ilaç tedavisi gereksizdir. Çeşitli aralıklarla Beyin MR kontrolü yapmak yeterli olur.Sonuçta pineal kistler vücutta zararsız kistlerden kabul edilir. Kistler sonradan gelişebileceği gibi, doğuştan bile olabilir. Bir müddet sonra genellikle MR gibi tetkiklerin yapılmasına da ihtiyaç duyulmaz. Genellikle pineal kistin kendisinin uykusuzluk yapma veya başka bulgulara yol açma olasılığı oldukça düşüktür.