
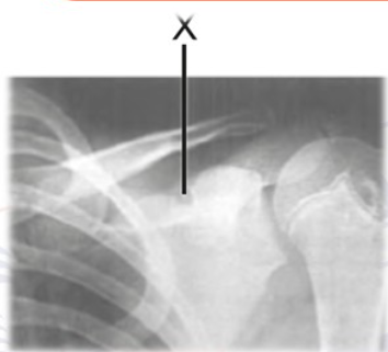
11 yaşındaki bir erkek çocuk merdivenden düşmüştür. Pratisyen hekim hastanın omuz bölgesine ait radyografisini incelemektedir.
Şekildeki “X” ile gösterilen kısım kalsifiye olmuşsa büyük olasılıkla paralizi olan kas aşağıdakilerden hangisidir?
A) M. deltoideus
B) M. teres major
C) M. teres minor
D) M. infraspinatus **
E) M. subscapularis
Incisura Scapulae (X Bölgesi) İlişkileri;
Geçen Sinir: N. suprascapularis, skapulanın üst kenarındaki incisura scapulae‘den geçer.
İnnerve Ettiği Kaslar: M. supraspinatus (Omuzun ilk 15 derecelik abdüksiyonu). M. infraspinatus (Omuzun dış rotasyonu).
İncisura scapulae (skapula çentiği), skapulanın üst kenarında (margo superior) processus coracoideus‘un kökünün hemen iç tarafında bulunan çentiktir. Ligamentum transversum scapulae superius ile kapatılarak bir foramen haline gelir ve bu aralıktan n. suprascapularis geçer. Bu sinir, omuz eklemine hareket veren m. supraspinatus (ilk 15° abdüksiyon) ve m. infraspinatus (dış rotasyon) kaslarını innerve eder.
Anatomik İlişkiler ve Özellikler:
Geçen Sinir: N. suprascapularis.
Örtücü Yapı: Çentiği foramen (delik) haline getiren yapı ligamentum transversum scapulae superius‘tur.
Klinik Önem: Supraskapular sinir sıkışması (entrapment neuropathy) genellikle bu çentik düzeyinde, çentiğin morfolojik varyasyonları veya ligamentin kireçlenmesi sonucu oluşabilir.
İnnerve Ettiği Kaslar: M.supraspinatus; Omuzun ilk 15 derecelik abdüksiyonunu başlatır. M.İnfraspinatıus: Omuzun dış rotasyonunu sağlar.