

Çift aortik ark: En sık görülen vasküler halka anomalisidir.
Erken dönemde (<3 ay) solunum sıkıntısı, stridor ve yutma bozukluğu ile kendini gösterir.
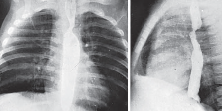
Direkt grafi ve baryumlu özefago grafide “anterior trakea basısı ve çift taraflı özefagus bası bulgusu” görülür.
Çift aortik ark (Double Aortic Arch), vasküler ring oluşturan konjenital bir aort anomalisidir.

Aortanın sağ ve sol arkuslarının birlikte persiste etmesi sonucu oluşur. Trakea ve özofagus tam bir damar halkası (vascular ring) içinde kalır. En sık semptomatik vasküler ring nedenidir
Normalde Sağ 4. aortik ark regresyona uğrarken, Çift aortik arkta Sağ + sol 4. aortik arklar birlikte kalır.
Sonuçta Trakea ve özofagus çevresinde tam halka oluşur.
Embriyolojik hata = regresyonun olmamasıdır.
Genellikle yenidoğan veya erken infant döneminde ortaya çıkar
Bulgular 2 grupta toplanır.
1-Solunumsal bulgular; Stridor, Wheezing, Tekrarlayan solunum yolu enfeksiyonları ve Solunum sıkıntısı
2-Gastrointestinal bulgular; Beslenme güçlüğü, Kusma, Yutma zorluğu (disfaji) ve Katı gıdayla belirginleşen semptomlar
Solunum bulguları > GIS bulguları (özellikle bebekte)
Tanıda Altın standart; BT anjiyografi ve MR anjiyografidir.
Yardımcı olarak çekilen Özofagus grafisinde Posterior indentasyon görülebilir.
EKO Eşlik eden kalp anomalileri için yapılır.
Ayırıcı tanıda Sağ arkus aorta + aberrant sol subklavian arter, Pulmoner arter sling gibi diğer Vasküler Ringler elimine edilir.
Tedavisi Cerrahidir. Dominant olmayan ark kesilir.
Semptomatik olgular mutlaka opere edilir
Prognoz Cerrahi sonrası çok iyidir.
Çift aortik ark, trakea ve özofagusu tamamen saran vasküler ring oluşturan, en sık semptomatik konjenital aort anomalilerindendir.
Çift aortik ark = sağ ve sol aortik arkın birlikte kalması → trakea + özofagus basısı → erken infantta stridor ve beslenme güçlüğü.