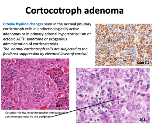
Cushing hastalığında (ACTH salgılayan hipofiz adenomu) adenohipofiz kortikotrof hücrelerinde görülen karakteristik inklüzyonlara Crooke cisimciği (Crooke hyaline change / Crooke body) denir.

Crooke cisimciği, Kortikotrof hücre sitoplazmasında homojen, eozinofilik, hyalin birikimdir.
Kronik yüksek kortizol → ACTH sentezinin baskılanması sonucu oluşur.
Sitokeratin (intermediate filament) birikimi içerir.
Hiperkortizolizmin histopatolojik göstergesidir.
Klinik bağlamda Cushing hastalığı (hipofiz adenomu), Ektopik ACTH dışı uzun süreli kortizol fazlalığı ile koreledir.
Crooke cisimciği = ACTH hücresinin kortizolle baskılandığının kanıtı
Yani paradoksal olarak: ACTH adenomu varAma çevredeki normal kortikotroflar baskılanmıştır.
