Pisiform, fleksör karpi ulnaris tendonu içinde yer alan bir sesamoid kemiktir. Genellikle, elin ulnar tarafı üstüne düşmek gibi direkt travma sonucu meydana gelir.
Rutin el bilek grafileri ile kolaylıkla gözden kaçabileceğinden, şüphe olması durumunda BT ile incelenmelidir
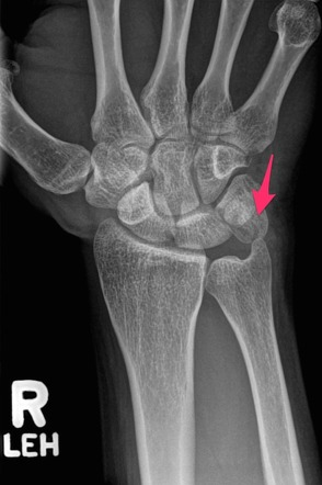
Perilunat çıkık nedeniyle tedavi edilen hastada trikuetro-pisiform eklemdeki yaralanma ve pisiformun minik parçalı kırıkları görülmekte. Pisiform kırıkları, ağırlıklı olarak konservatif yöntemlerle tedavi edilir.
Özellikle ayrışmamış akut kırıklara 3–6 haftalık alçı uygulanır. Ayrışmış kırıklarda vida ile osteosentez mümkündür.
Parçalı kırıklar ve semptom veren kaynamamalar ise pisiformun çıkarılması ile tedavi edilir. Hamatum çengelinin çıkarılmasında olduğu gibi, yakın komşuluğundaki ulnar damar sinir paketine dikkat edilmelidir

Pisiform kırıklar karpal kemiklerin nadir görülen bir kırıklarıdır .
Tüm karpal kırıkların yalnızca %1-2’sini oluşturdukları düşünülmektedir. Bazı eski kaynaklar, bunların bundan daha nadir olduğunu öne sürse de, fikir birliği, trapezoid kırıklarının en nadir görülen kırıklar olduğu yönündedir .
Yaklaşık %50’si diğer karpal kırıklarla birlikte görülür .
Çok nadir olarak pisiform kemik kırık olmaksızın çıkık olabilir ve radyal olarak yer değiştirebilir.
Radyografik özellikler
Düz radyografi; Bazıları düz filmde gizli olabilir. Pisotriquetral eklem en iyi 30 derece supinasyonlu lateral görünümde veya karpal tünel görünümü kullanılarak görülebilir .
Genellikle alçı veya bilek ateli ile immobilizasyon yoluyla tedavi edilirler.
Bazı durumlarda pim vidası yerleştirilmesi veya eksizyon gerçekleştirilir.