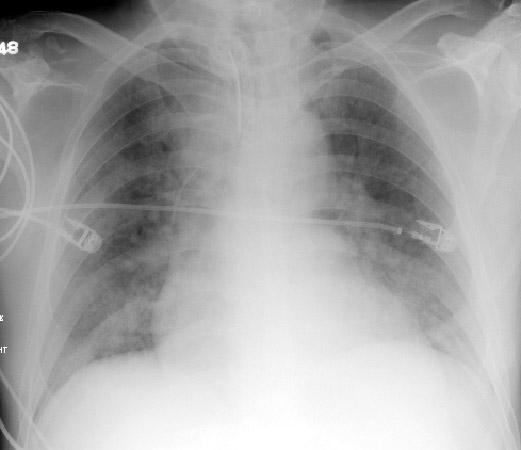
I. Sefalizasyon
II. Kaudalizasyon
III. Bilateral hiler lenfadenopati
IV. Sağ hemidiyaframın sola göre 2mm daha yukarda olması
Ayakta duran bir kişide çekilen PxA akciğer filmi ile ilgili yukarıdaki bulgulardan hangileri anormal kabul edilir?
A) I, II
B) I, II, III
C) I, II, III, IV
D) I, III *******
E) III, IV
Ayakta duran bir kişide alt lob damarlarının çapı üste göre daha geniştir (yatanlarda aynıdır). Buna kaudalizasyon denilir ve normal bir bulgudur.
Kalp yetmezliğinde, mitral kapak hastalığında ve bazal amfizemde, ayakta duran kişide üst lob damarlar daha belirgindir. Buna sefalizasyon denilir. Patolojiktir. Sol atriyal basıncın 10-15 mmHg yükseldiği evre I KKY de oluşur ve tespitinde, Üst ve alt lob damarları arasındaki karşılaştırma, hiler noktadan eşit uzaklıkta yapılır.

Hiler nokta/açı, superior pulmoner ven (sarı çizgi) ve inen pulmoner arter (yeşil çizgi) dikkate alınır.

KKY görülen bulgular;
1- Genişlemiş üst lob damarları (sefalizasyon); Sefalizasyon, kanın üst lob damarlarına yeniden dağıtılması anlamına gelir. Hidrostatik basınç 10 mm Hg’yi aştığında, sıvının akciğerin interstisyumuna sızmaya başladığı varsayılmıştır. Bu fazla sıvı başlangıçta muhtemelen yerçekiminin bir sonucu olarak alt lob damarlarını sıkıştırır. Bundan sonra, daha büyük hacimde kan dağıtmak için üst lob damarları görevlendirilir. Daha fazla kan taşımak için üst lob damarlarının boyutu artar.
2- Kardiyomegali (kardiyo-torasik oran > %50)
3- İnterstistal ödem
4- Genişlemiş pulmoner arter
5- Plevral efüzyon

6- Alveoler Ödem
7- Belirgin SVC
8- Kerley çizgileri B
9-Peri-bronşiyal kanlanma
10-İnterlobar fissürlerin kalınlaşması
11-Yarasa dağılımı

Bilateral hiler LAP patolojik bir durum olup genelde sarkoidozda görülür.
Normalde sağ hemidiyafram sola göre 2 mm daha yukardadır.